2:37

Invisalign® - Mission Viejo, CA

Discreet Treatment,
Dramatic Results

tony Invisalign patient smiling
"It Was Important For Me Working With People To Have A Smile With Confidence"
dr haeri
2:23

Dr. Haeri

Discusses If Clear Aligners Are An Option For You?

Easily Straighten Teeth with Invisalign®

If you have crooked teeth, a misaligned bite, or gaps between your teeth, you may have thought about wearing braces before. However, traditional bracket-and-wire braces can be unsightly and even painful. That’s why at Harmony Dentistry, we are proud to offer a clear alternative: Invisalign®.

Invisalign treatment in Mission Viejo, CA provides clear plastic aligner trays that look like retainers. They fit snugly over your teeth for 22 hours per day, but you can remove them when you eat and when you clean them. Because they’re removable, you can continue to eat without dietary restrictions and maintain your regular hygiene routine. Your friends and family may not even notice the aligners, but they’ll certainly notice your improved smile!

dr haeri discussing invisalign procedure

Why Choose Invisalign?

invisaling model
3:04

Invisalign treatment from our experienced dentist in Mission Viejo, CA will improve the health and function of your smile, in addition to providing natural smile aesthetics and a boost to your confidence!

Improve Your Smile and Improve Your Health

Orthodontic treatment such as Invisalign isn’t merely cosmetic. Having crowded teeth or gaps between teeth increase the amount of food that gets stuck between your teeth, leading to early decay and a higher potential for cavities. Having crooked teeth also makes it harder to clean your gums, increasing your risk of periodontal disease.

Crooked teeth can also cause bite issues, jaw pain, teeth grinding and temporomandibular joint (TMJ) disorder. Having straight teeth reduces the risk of these issues, as well as making it much easier to keep your teeth clean. Aligning your teeth also resolves functional problems associated with malocclusion (bad bite): you won’t constantly bite that one spot on your cheek anymore!

invisalign model

Personalized Invisalign Treatment, the Harmony Way

Our Mission Viejo, CA Invisalign dentists are trained and certified in both Invisalign and ClearCorrect orthodontic treatments. If you think you may want to straighten out your smile, we offer free Invisalign consultations at Harmony Dentistry. Here’s what to expect from your Invisalign treatment:

Your treatment begins with a free consultation with our Invisalign doctors, during which we’ll take scans of your mouth and learn what results you’re looking for. Nearly all our patients are good candidates for Invisalign if they don’t have complex issues with their bite. We’ll then take impressions of your teeth that we use to create your custom clear aligners. You wear these plastic aligners for 20-22 hours per day, though you can take them out to eat and clean your teeth. You’ll get new aligners from us every few weeks, and as you progress, you’ll notice your teeth slowly moving into place.

At Harmony Dental, we also offer free teeth whitening and a tooth manicure with every Invisalign treatment, so you will get the most for your money. However, we do understand that cost can be an issue with orthodontic treatment, and we don’t want anyone to be left out. This is why we accept most major dental insurance companies, as well as third-party and in-house financing.

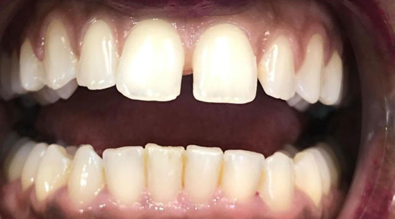
Before After
Before After
Before After
dental patient smiling
Patient Story

Improve your confidence by getting Invisalign today.

Schedule your free consultation in Mission Viejo, CA to find out what we can do for you!

I understand the information disclosed in this form may be subject to re-disclosure and may no longer be protected by HIPAA privacy regulations and the HITECH Act.

schedule appointment